- 歯周病とは?
- 歯周病で「どうしても歯を残したい」と願うあなたへ
- 重度歯周病でも「諦めない」選択を!
- それでも抜歯になった場合でも、ご安心ください
- 荒川区「歯周疾患検診」を行っています
- 歯周病の症状
- 歯周病の種類
- 重度歯周炎の治療例
- 歯周外科
- 歯周病のセルフチェック
- 歯周病の原因
- 歯周病の原因を掘り下げる
- 歯周病の早期警告信号:何に注意すべきか
- 歯周病の進行と治療
- 歯周病の進行:ステージと影響
- 歯周病の様々な顔:各病状の特性とその影響
- 歯周病の判断:どのように診断が行われるか
- 当院の歯周病治療の特徴
- 歯周病を克服する道:様々な治療法について
- 歯周病予防への道:毎日のホームケアが大切
- 歯周病と全身の健康:口の中から始まる健康の輪
- 歯周病と栄養:食事から始める口腔健康
- 歯周病とストレス:心身の健康が口腔の健康にも影響を及ぼす
- 歯周病の専門家:口腔健康の最前線で働くあなたの強力なサポートチーム
- 歯周病治療の最新技術:未来への窓口
- 歯周病のコスト:保険と治療費用についてのナビゲーション
- 歯周病治療後の生活:あなたの口腔健康の未来への道
歯周病とは?
歯周病とは、歯垢(プラーク)に含まれる歯周病菌が歯茎や歯槽骨(歯を支える骨)に炎症を引き起こす病気です。
最初は歯茎の炎症から始まり、やがて歯槽骨へ広がります。痛みなどの自覚症状が現れないため、サイレント・ディジーズ(静かに進行する病気)とも呼ばれています。歯槽骨が大きく破壊されると、歯を支えられなくなることで抜けてしまう恐れがあります。
当院では、生涯にわたりご自身の歯をお守りいただけるようにサポートしておりますので、歯茎の腫れや赤み、歯磨きのときの出血などがある方はお早めにご相談ください。
成人の約8割は歯周病
歯を失う病気と言えば、虫歯をイメージする方が少なくありません。
実は、日本では、成人の約8割が歯周病にかかっているといわれています。さらに、35歳以上の約7割もの人が歯周病が原因で歯を失っているとの報告もあるのです。
歯を失う原因第一位は歯周病
日本における歯を失う原因で最も多いのは歯周病だといわれています。ただし、20歳代までは虫歯によって歯を失うケースが多いとされています。
生涯にわたり、ご自身の歯をお守りいただくためには、虫歯と歯周病の予防を心がけることが大切です。
全身の健康にも影響します
近年では、歯周病が糖尿病や脳梗塞、心筋梗塞、誤嚥性肺炎、早産などのリスクを高めることが明らかになっています。
そのため、全身の健康を守るには、お口の正しいケアを生涯続ける必要があります。
歯周病で「どうしても歯を残したい」と願うあなたへ

歯周病が進行して歯を支える骨が溶けてしまうと、歯がグラグラになり、最終的には抜歯という選択を迫られることがあります。しかし、諦めるのはまだ早いです。当院では、重度歯周病の方でも歯を残せる可能性を追求し、以下の2つの治療法を柱として、患者様の「歯を残したい」という想いに応えています。
- 骨再生治療
- 歯周補綴治療
これらの治療は、重度歯周病で抜歯寸前と診断された歯でも、抜かずに機能回復を目指せる「最後の砦」とも言える治療法です。それぞれの治療について、詳しく見ていきましょう。
骨再生治療:溶けてしまった骨を「再生」させる

歯周病で一度失われた歯茎や骨は、残念ながら自然に元に戻ることはありません。しかし、骨再生治療を行うことで、まるで時を巻き戻すかのように、失われた組織や骨を回復させることが可能になりました。これにより、抜歯をせずに歯を残せる可能性が飛躍的に高まっています。
骨再生治療には、歯周病の進行度合いや骨の状態によって、主に以下の2つの方法があります。
-
エムドゲイン法
エムドゲイン法は、歯が生えてくる時に重要な働きをするタンパク質の一種「エムドゲインゲル」を使用して、失われた骨や歯周組織の再生を促す治療法です。お子さんの歯が生える過程をサポートする安全性の高い成分なので、人体への影響も少なく安心して治療を受けていただけます。
ただし、エムドゲイン法は外科手術を伴います。手術中は麻酔を使用するため痛みはありませんが、回復には数ヶ月から1年ほどの期間が必要です。また、喫煙されている方や糖尿病をお持ちの方は、治療の効果が出にくかったり、細菌感染のリスクが高まるため、治療が難しい場合があります。
-
GBR法(骨誘導再生法)
GBR法は、歯周病で骨が不足している部分に、人工骨やご自身の顎から採取した骨(自家骨)を移植して骨の量を増やす治療法です。特殊な膜(メンブレン)でスペースを作り、その中に骨補填材を入れることで、骨の再生を促します。
この治療も外科手術が必要となりますが、骨の量が少ない場合は吸収性の膜を使用し、多い場合は非吸収性の膜を使用します。非吸収性の膜を使用した場合は、骨ができた後に膜を除去するための再手術が必要になることがあります。
歯周補綴治療:ぐらつく歯を「強く安定」させる

歯周補綴治療は、重度の歯周病でグラグラになった歯を、他の健康な歯と連結させて補強し、安定させる治療法です。有名な「三本の矢」の例えのように、一本では簡単に折れてしまう矢も、束にすれば強固になるように、グラつく歯を連結することで、しっかりと安定させて噛める状態を取り戻します。
歯周補綴治療を行うことで、見た目だけでなく、お口全体の健康にも良い影響をもたらします。
-
見た目の改善
重度歯周病が進行すると、歯茎が下がって歯の根元が露出し、歯が長く見えたり、歯と歯の間に隙間ができたり、歯並びが悪くなったりと、見た目に影響が出ることがあります。歯周補綴治療では、被せ物で歯の色や形を調整できるため、自然で美しい口元を取り戻すことが可能です。
-
噛み合わせの安定
グラグラした歯では、食事の際に十分に力を入れて噛むことができません。噛む力が低下すると、骨への刺激も減り、さらなる骨の吸収を招いてしまいます。歯周補綴治療で歯を連結し安定させることで、本来の噛む機能を取り戻し、骨への適切な刺激を与えることで、骨の活性化にも繋がります。
-
歯磨きのしやすさ向上
グラつく歯は、歯科医師や歯科衛生士でも歯磨きが難しいものです。患者様ご自身で丁寧に磨くことも困難になり、「面倒だから…」と歯磨きがおろそかになってしまうことも少なくありません。これにより、歯周病の原因菌が増殖し、さらに症状が悪化してしまう悪循環に陥ることもあります。歯周補綴治療で歯を固定することで、歯磨きがしやすくなり、口腔内を清潔に保ちやすい環境を整えることができます。
重度歯周病でも「諦めない」選択を!

歯周病は、歯を失う大きな原因ですが、重度歯周病と診断されても、必ずしも抜歯が唯一の選択肢ではありません。当院では、患者様一人ひとりの歯の状態を丁寧に診査し、骨再生治療や歯周補綴治療といった高度な治療法を駆使して、大切な歯を残す可能性を最大限に追求します。
どんなに重度の歯周病でも、まずはご相談ください。歯を残せるかどうか、残せるのであればどのような治療が最適か、患者様のお気持ちに寄り添いながら、最適な治療計画をご提案させていただきます。
それでも抜歯になった場合でも、ご安心ください

残念ながら、歯周病の進行度合いによっては、あらゆる手を尽くしても歯を残すことが難しい場合もあります。しかし、その場合でも落ち込む必要はありません。失ってしまった歯の機能を回復させるための治療法は複数あります。
一般的に、抜歯後の選択肢として以下の3つが挙げられます。
- 入れ歯
- ブリッジ
- インプラント
入れ歯やブリッジは保険適用が可能な場合もありますが、周囲の健康な歯に負担をかける可能性があります。
一方、インプラントは、失われた歯の部分に人工の歯根を埋め込む治療法です。保険適用外となるため費用はかかりますが、他の健康な歯を削る必要がなく、ご自身の歯のようにしっかりと噛めるようになるのが大きなメリットです。見た目も自然で、人工物とは分からないほどの仕上がりになります。
重度の歯周病で抜歯という選択になった場合でも、当院では患者様の費用面、機能性、見た目のご希望を考慮し、最適な治療法をご提案いたします。
荒川区「歯周疾患検診」を行っています

歯周病の症状
歯ぐきの腫れ・出血


歯ぐきの縁が赤く腫れ、歯磨きの時に出血する場合には、歯肉炎や歯周炎の可能性があります。症状が歯ぐきに限定されている場合は、歯磨き指導により改善される場合がほとんどです。
ただし、歯がぐらぐらするまで症状が進んでいる場合には、外科的な処置が必要になる場合があります。
歯がぐらぐらする


中等度~重度の歯周炎(歯周病)により、歯を支える骨が失われて歯がぐらぐらしている状態です。歯ぐきが後退していくため、歯が長くなったように見え、口臭がし始めたり、歯ぐきから膿が出たりします。場合によっては抜歯が必要になることもありますので、早急にご相談下さい。
歯周病の種類
1. 健康な歯ぐき
皆さん定期的に来院していただき、健康な状態を維持されています。歯医者としてもっとも嬉しいケースです。
30代

50代

70代

80代

2. 歯肉炎
炎症が歯ぐきのみに見られます。歯ぐきの縁が赤く腫れ、歯磨きの際に出血することがあります。この状態を放置すると、歯周炎へと進み最終的には歯が抜け落ちてしまいます。
3. 軽度歯周炎
歯周ポケットが3mm以内で、歯の揺れる幅が0.7~1.0mm以内の状態を軽度歯周炎と呼びます。骨が少し溶け始めますが痛みを伴わないので気付きづらい状態です。
歯磨き指導(Teeth Brushing Instruction)を行い、ご自身で丁寧に歯磨きをしていただくこと、また、クリニックにて歯石の除去も合せて行います。
▼歯磨き指導だけで改善した例です。
治療前

治療後

▼保険治療の範囲で超音波スケーリングを行い、歯肉の腫れが和らぎました。
治療前

治療後

4. 中等度歯周炎
歯周ポケットが3~6mm以内、歯の揺れる幅が1~2mm以内で骨が半分程度溶けてしまった状態です。歯がぐらぐらし始め、歯ぐきは後退して歯が長くなったように見えてきます。
麻酔をして、SRP(スケーリング、ルートプレーニング)によって、歯の根の表面に付着したプラーク、歯石を取り除きます。
▼歯磨き指導で症状が安定しました。
治療前

治療後

▼SRP(スケーリング・ルートプレーニング)で症状が改善・安定しました。
治療前


治療後


5. 重度歯周炎
歯周ポケットの深さが6mm以上、歯の揺れる幅が2~3mmの歯周炎を重度歯周炎といいます。歯を支える骨は3分の2程度失われて、歯はぐらぐらして硬いものを噛むことができなくなります。
外科的な処置を中心に場合によっては抜歯という選択肢も視野に入れて治療をしてまいります。
重度歯周炎の治療例
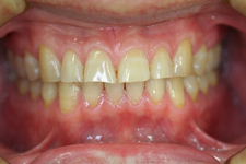
重度の歯周炎により上顎の歯が全て外向きにひらき歯間が開いた状態で来院されました。
治療:下顎臼歯部(下奥歯)を抜歯した状態のままになっておりましたので、前歯が強くあたり、歯周病も重なり前歯が開いてしまっていました。下奥歯欠損部はインプラントによる治療、また開いてしまった上顎は矯正により元の位置に戻しました。下に入れたインプラントにより全ての歯が均一に噛み合うようになり、歯周病の治療もスムーズに行えました。
| 期間 | 1年 |
|---|---|
| 費用 | 約200万円 |
治療前写真





治療後写真





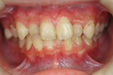
重度歯周炎により下顎前歯が動揺して来院されました。
治療:下顎前歯4本は動揺が著しく、又歯並びが悪くメインテナンスが上手くできない状態でしたので抜歯させて頂きました。抜歯後、歯肉の退縮を最小限におさえる為、ソケットプリザベーションにより人工の骨を填入、平らでメインテナンスのしやすい状態にし、その後ブリッジの作製を行いました。
治療前

治療後

| 期間 | 4ヶ月 |
|---|---|
| 費用 | 約60万円 |
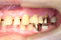
歯の動揺と隙間が広くなってきた事を気にされて来院されました。
治療:左下奥歯(臼歯)は欠損したままになっておりましたのでインプラントによる欠損部の治療を行いました。欠損部にインプラントを入れるだけの十分な骨量がありませんでしたが、残存歯の負担をなるべく少なくするため、インプラント治療をおこなっています。その他歯周病治療を行っておりますが、上顎正中は歯槽骨の欠損が大きかった為、E・M・D(エムドゲイン)により再生治療も行っています。
治療前

治療後

歯周外科
中等度・重度歯周炎まで進行してしまった場合、外科的な処置が中心となります。
エムドゲイン法
歯周病によって部分的に失われた、歯を支える組織を回復する治療です。歯ぐきを切開し、失われた歯周組織の部分にエムドゲインという薬剤を塗布して縫合します。
治療前

治療後

赤い枠で囲まれた部分をご覧下さい。レントゲン写真では、組織が失われている部分が黒く写ります。治療後では、うっすらと白く写り、骨が再生していることが分かります。
歯肉弁根尖側移動術(APF – Apically Positioned Flap surgery)
歯周病に侵された歯肉を除去し歯周病の進行を食い止める手術です。歯周ポケットが浅くなり、歯周病原菌が繁殖しづらい環境を作ります。
治療前

処置中

治療後

上顎前歯のブリッジを取り外し、歯肉を切開しました。歯周ポケットがなくなったことで口腔環境は大幅に改善しました。最後にオールセラミックスのブリッジを装着して完了です。
根面被覆術
歯周病が進行すると、歯を支える歯周組織が破壊され、歯ぐきは後退して歯が長くなったように見えます。歯周病が治った後もこの後退した歯ぐきは元に戻らないため、笑ったときの見栄えを気にされる方も多くいらっしゃいます。根面被覆術は歯肉を移植して見栄えを改善する手術です。
治療前

治療後

PAOO(即時矯正)
歯並びが悪いと、ブラッシングもしづらく、歯周病の治療・プラークコントロールが困難になります。そういう場合には、まずこのPAOOで歯並びを速やかに改善し、歯周病治療を効果的に進めることができます。
通常2~3年かかる矯正が約半年で完了し、歯周病の治療もスムーズに進みました。今では、歯ぐきは引き締まってとても良い状態です。
歯周病のセルフチェック
- 歯肉が赤く腫れている
- 歯肉に違和感がある
- 口臭が気になる
- 歯磨きのときに出血する
- 起床時に口の中がネバつく
- 歯肉から膿が出る
- 歯がグラつく
- 硬いものが食べづらい
- 歯が伸びたように感じる
- 歯と歯の間に食べものが詰まりやすい
歯周病の原因
口の中には、300~500種類の細菌が生息しているといわれています。
すみずみまで歯磨きができていなかったり、糖分を頻繁に摂取したりすると、細菌が粘り気のある物質を生成して歯の表面に付着させます。これが歯垢(プラーク)ができる仕組みです。
歯垢1mg中に10億個もの細菌が存在しており、放置すると硬い歯石に変化して歯磨きでは落とせなくなります。歯石の表面はザラついていることで歯垢が付着しやすいため、さらに歯の健康が損なわれるという悪循環に陥ります。
歯垢(プラーク)とは?
歯垢は食べかすと思われがちですが、その正体は「細菌の集合体」です。
歯垢が歯に付着していると、虫歯菌や歯周病菌が歯や歯茎にダメージを与えます。
歯肉縁上プラーク(歯垢)とは?
歯の見えている部分(歯冠部)に付着した歯垢を「歯肉縁上プラーク」といいます。
歯の表面に付着した歯垢は虫歯の原因になり、歯と歯茎の間に付着した歯垢は歯周病の原因になります。
縁下プラーク(歯垢)とは?
歯周病が進行すると、歯周ポケット(歯と歯茎の間の溝)が深くなります。縁下プラークとは、歯周ポケットの中に付着する歯垢のことです。
歯周病菌は酸素を嫌うため、酸素が非常に少ない歯周ポケット内を好みます。 縁下プラークは中~重度の歯周病である「歯周炎」を引き起こし、歯周組織を破壊します。
歯周病の原因を掘り下げる

遺伝と環境:見えない影響力
歯周病のリスクは、遺伝的要素と環境要素の両方により高まります。遺伝的に歯周病になりやすい体質を持つ人もいれば、ストレスや栄養不足、不適切な口腔衛生習慣などの生活環境が引き金となっている人も少なくありません。そのため、まずは自分の遺伝的リスクを知り、生活習慣を改善することが、歯周病予防にとって重要です。
喫煙とアルコール:口腔健康に対する隠れた脅威
喫煙習慣とアルコールの摂取は、口腔健康、特に歯周病にとって大きな脅威です。これらは口腔内の環境を変化させ、細菌の増殖を助け、免疫系の反応を変え、口腔組織の修復能力を低下させます。特に喫煙は歯周病の進行を早めることが知られています。これは、タバコが口腔内の血流を低下させ、歯肉の修復能力を低下させるからです。健康な口腔環境を維持するためには、これらのリスクを認識し、適切な対策をとることが重要です。
歯周病の早期警告信号:何に注意すべきか

歯肉の変化:静かな危険信号を見逃さないで
私たちの口の中は、毎日さまざまな食べ物や飲み物と接触します。口腔ケアを怠ると、歯や歯肉の表面には細菌が繁殖し、プラーク(歯垢)が形成されます。これが硬化するとターター(歯石)になり、歯肉が炎症を起こりやすくなります。歯肉が赤くなったり、触ると痛んだり、毎日の歯磨きで出血するようになったら、それは歯周病の初期段階である銀歯炎のサインかもしれません。これらの症状が現れたら、早急に歯科医に相談しましょう。
悪口臭と不快な味:口腔内の問題を察知する
長時間残る口臭や、口の中に異常な味を感じることは、口腔内に問題がある可能性を示しています。これは口腔内の細菌が増え、細菌が発生させるガスにより口臭が生じるからです。また、不快な味が口の中に残るのは、感染が進行し、細菌による排泄物が増えるからです。これらの症状を放っておくと、歯周病が進行し、より深刻な症状を引き起こす可能性があります。
歯の動きと歯並びの変化:微妙な違いが大きな問題を示す
歯周病が進行すると、歯を支える骨や組織が徐々に破壊され、歯がぐらつくようになることがあります。また、歯並びが変わったり、噛む感触が以前とは異なると感じたりすることもあります。さらに、歯と歯の間に食べ物が挟まりやすくなったり、歯が動く感じがしたりする場合も、歯周病が進行している証拠です。これらの症状に気づいたら、速やかに歯科医に相談し、適切な診断と治療を受けましょう。早期発見が早期治療につながり、より深刻な問題を防ぐことにつながります。</p
歯周病の進行と治療
歯肉炎
歯茎にだけ炎症が起きている状態で、歯周病の重症度を示す歯周ポケットの深さは3mm以内です。歯茎の赤みや腫れなどの症状が現れます。
また、歯磨きのときや硬いものを食べたときに歯茎から出血しやすくなります。 歯肉炎は、正しい歯磨きと歯科医院で受ける歯のクリーニングで改善が期待できます。
ただし、歯磨きの方法を間違えていると改善が難しいため、歯科医院で定期的に歯磨き指導を受けることも大切です。
軽度歯周炎
歯茎の炎症が歯槽骨(歯を支える骨)に広がった状態で、歯周ポケットの深さは3~4mmです。歯磨きのときの出血や歯茎の腫れ、違和感などの症状が現れます。
ただし、無症状のケースも多いため、歯周病の発症に気づけないケースが少なくありません。 スケーラーという特殊な器具を用いた歯垢や歯石の徹底的な除去によって、症状の改善が期待できます。
中等度歯周炎
中等度歯周炎は、歯を支える歯槽骨の3分の1~3分の2が溶けた状態で、歯周ポケットの深さは5~7mmです。歯茎の腫れと改善を繰り返したり、歯茎から膿が出たりします。
そのほか、水がしみる、口臭がする、歯が揺れるなど、さまざまな症状が現れます。 歯垢や歯石を徹底的に取り除くことで改善が期待できますが、歯周ポケットの深いところの歯石除去には痛みを伴う場合があるため、麻酔注射が必要です。
また、歯茎を剥離して目視で歯垢や歯石を取り除く場合もあります。
重度歯周炎
重度歯周炎では、歯槽骨の3分の2以上が溶けており、歯周ポケットも7mm以上と非常に深くなっています。歯の揺れ、硬いものを噛みにくい、歯茎を押すと膿が出て口臭が強くなるなどの症状が現れます。
また、歯磨きのときの出血がさらに起こりやすくなります。 歯茎が退縮するため、歯が長くなったように感じたり、歯と歯のすき間が広がって食べものが詰まりやすくなったりするのも重度歯周炎の症状です。放置すると歯が抜け落ちる恐れがあるため、できるだけ早く歯科医院を受診しましょう。
治療法は歯垢や歯石の除去ですが、症状が改善しない場合は抜歯する可能性があります。
歯周病の進行:ステージと影響

各進行ステージの特徴
歯周病は慢性的な疾患であり、進行は時間とともに徐々に深刻化します。最初のステージは銀歯炎で、ここではまだ歯を支える骨は健全です。しかし、この段階で適切なケアがなされないと、症状は悪化します。歯肉がさらに炎症を起こし、歯を支える骨が少しずつ破壊されていきます。これが進行すると、歯がゆるむか、最悪の場合は歯が抜け落ちることもあります。
歯の喪失:歯周病の深刻な結果
歯周病が重症化すると、歯を失うという深刻な結果を招く可能性があります。歯がなくなると、咬むときのバランスが崩れ、食事がしにくくなったり、話す際の発音に影響が出ることもあります。さらに、歯がなくなることで顔の形状にも変化が見られる可能性があります。これらの問題を防ぐためには、歯周病の早期発見と適切な治療が必要不可欠です。
自己評価:歯周病対策の一歩
歯周病の初期症状は自分自身で気付きにくいものです。しかしながら、毎日の歯磨きやフロッシングを通じて、歯肉の色や腫れ、出血などの異常を早期に捉えることは可能です。また、定期的に歯科医のチェックを受けることで、専門家の意見を得られ、必要ならば早期に治療を始めることができます。自分の口腔の状態を評価することと、専門家による評価が、健康な口腔環境を保つための重要なステップとなります。
歯周病の様々な顔:各病状の特性とその影響

銀歯炎から歯周病へ:一見無害な初期症状
歯周病の初期段階を「銀歯炎」と呼びます。この段階での症状としては、歯肉の赤み、腫れや、歯磨き時の軽度の出血が挙げられます。銀歯炎の症状は軽微であるため、容易に見過ごされがちです。しかし、こうした症状を放置すると、次の段階である「歯周病」へと進行します。歯周病は歯肉だけでなく、歯を支える骨にまで影響を及ぼす重大な疾患であり、銀歯炎の段階で早期に発見し、適切な治療を行うことが大切です。
歯周病の重篤な病状:慢性歯周病と急性歯周病
歯周病がさらに進行すると、「慢性歯周病」または「急性歯周病」へと移行します。慢性歯周病は一般的に長期間にわたって徐々に進行し、歯を支えている骨を破壊します。この結果、歯の喪失に繋がります。一方、急性歯周病は短期間で急速に進行し、強い痛みを伴うことがあります。いずれの病状も、早期に発見し、適切な治療を行うことが大切です。放置すれば、歯の喪失だけでなく、全身への影響も考えられます。
妊娠と歯周病:知っておきたい関連性
妊娠中はホルモンのバランスが変化し、それが歯周病の発症や進行に影響を及ぼすことがあります。特に、エストロゲンとプロゲステロンの増加は、口腔内の血流を増加させ、歯肉が腫れやすくなります。これにより、歯周病になりやすい状態が作られます。また、一部の研究では、妊娠中の歯周病が早産や低体重出生のリスクを高める可能性が指摘されています。妊娠を希望する方や妊娠中の方は、定期的な歯科検診を受け、口腔内の健康を維持することが重要です。これにより、自身と赤ちゃんの健康を守ることができます。
歯周病の判断:どのように診断が行われるか

初期診察の役割:視覚検査とX線による歯周病の早期発見
歯周病の診断は患者の口腔内全体の健康状態を理解することから始まります。歯科医師は初期診察で視覚検査を行い、歯肉の腫れや赤み、歯の動きや歯並びの変化、そして歯石やプラークの蓄積状況などをチェックします。この段階では一見小さな変化でも重要で、これらは歯周病の初期症状となる可能性があります。
さらに詳しく診断を進めるため、視覚検査と併せてX線検査も行われます。X線によって歯の内部や歯根、そして歯周組織と骨の状態を評価することが可能になります。これにより、視覚的には確認できない歯の状態や歯周病の進行状況を明らかにすることができます。
歯周ポケットの測定:歯周病の進行状況を理解する手段
次に、歯周病の深刻さを評価するために、歯周ポケットの測定が行われます。歯周ポケットとは、歯と歯肉の間にできるスペースのことで、その深さは歯周病の重症度を示しています。歯周ポケットが深くなるほど、歯周病は進行していると考えられます。
特殊な測定器具を用いて歯周ポケットの深さを確認します。この結果は、その後の治療方針を決定する上で重要な情報となります。
歯周病の進行度評価:病状の具体的な理解を得る
以上の検査結果をもとに、歯科医師は歯周病の進行度を評価します。評価は歯周ポケットの深さやX線で観察された骨の状態が重視されます。歯周病が進行すると、骨が徐々に破壊されるため、骨の量や形状の変化を評価することは非常に重要です。
また、患者さまの自覚症状や生活習慣なども考慮に入れられ、全体的な病状を把握します。歯周病の進行度が高い場合は、より積極的な治療が必要となります。そのため、早期に適切な診断を行い、治療を始めることが重要です。
当院の歯周病治療の特徴
位相差顕微鏡による検査
当院では、口の中に生息する細菌の種類や量を観察できる「位相差顕微鏡」を使用しております。
細菌の種類によって治療法が異なるため、患者さまに適した治療を行うには、位相差顕微鏡によってお口の中を観察する必要があります。
検査方法
- 歯周ポケット内から歯垢を採取する
- 歯垢をプレパラート(ガラスの板)にのせる
- プレパラートを位相差顕微鏡に設置する
- 位相差顕微鏡と接続したモニターに歯垢を映し出す
- 拡大して細菌の種類や動きを調べる
ほとんど時間がかからないうえに、歯垢を採取するときに痛みを感じることもありません。
歯周外科治療が可能
歯周外科治療とは、歯周病で破壊された歯周組織や骨の再生を促して、歯の機能を取り戻す治療です。
当院では、次の歯周外科治療を行っております。
エムドゲイン法
エムドゲイン法は、エムドゲインという薬剤で歯周ポケットの改善や歯槽骨の再生を促す治療法です。歯周ポケットの深さが6mm以上の場合に適用できます。
歯茎を切開して歯根を露出させ、歯垢と歯石、汚れを徹底的に取り除いてからエムドゲインを塗ります。切開した歯茎を縫合すれば完了です。
歯肉弁根尖側移動術
歯肉弁根尖側移動術は、歯周ポケットが深かったり歯肉が狭かったりする場合に行う治療法です。
虫歯が歯槽骨の近くまで進行していても、歯茎の位置を下げることで歯を長く露出させて治療できます。
また、歯によって歯茎の位置にバラつきがあるときの審美治療としても適用可能です。
根面被覆術
根面被覆術は、歯茎が下がって露出したところに歯茎を移植して、歯根を覆う治療法です。
歯茎の長さにバラつきがあるときの審美治療としても適用できます。
PAOO(即時矯正)
PAOO(即時矯正)は、歯槽骨(歯を支える骨)に切れ目を入れて、効率よく歯を移動させることで、短期間の矯正を実現する方法です。
また、歯の移動と骨再生を並行して行うことで、短期間で歯槽骨を増やせます。
歯周病を克服する道:様々な治療法について

初期の歯周病の対策:スケーリングとルートプレーニング
歯周病が早期であれば、非外科的な介入で効果的に治療することができます。その代表的なものがスケーリングとルートプレーニングです。スケーリングは、歯や歯肉の下のプラークや歯石を除去する治療法です。これにより歯周病を引き起こす細菌の数を減らし、歯肉の健康を改善することができます。
一方、ルートプレーニングは歯の根面を滑らかにすることで、新たな細菌の付着を防ぎます。これらの治療法は、痛みを感じることなく行え、かつ歯周病の進行を食い止める効果があります。
進行した歯周病への対策:歯周フラップ手術
歯周病が進行し、スケーリングとルートプレーニングだけでは充分でない場合、歯周フラップ手術が行われます。これは歯肉を一部剥離し、歯の根や骨に直接アクセスできるようにする手術です。手術により深い歯周ポケット内部の細菌を徹底的に除去し、歯の健康を回復させます。治療後は、歯肉が元の位置に戻され、縫合します。
歯周病による損失の補修:再生手術とインプラント
歯周病が非常に進行し、歯を失ってしまった場合でも、再生手術やインプラントにより、失った歯や骨を再生することが可能です。再生手術は、失われた歯周組織や骨を再生させる手術で、人工的な材料や自身の骨を使って補填します。
一方、インプラントは、失われた歯を人工的な歯で置き換える治療法です。インプラントは自然な歯に近い機能を果たすことができ、見た目も自然です。これらの治療は専門的な技術を必要としますが、適切な手術とケアにより、歯周病から引き起こされる機能的、審美的な問題を解決することができます。
歯周病予防への道:毎日のホームケアが大切

歯と歯茎のケア:ブラッシングとフロッシングの方法
毎日の口腔ケアは歯周病を未然に防ぐ最初の一歩です。特にブラッシングとフロッシングは、口腔内のバクテリアとプラークを除去する上で欠かせない習慣です。ブラッシングは少なくとも1日2回、食事後が理想的で、ブラッシングのやり方は、小さな円を描くように、ゆっくりと歯茎に沿って行うのが推奨されます。フロッシングは、ブラッシングだけでは取り除けない歯間の食べ残しやプラークを除去するために必要です。フロッシングの方法については、柔らかく薄いフロスを選び、歯間をゆっくりと上下に動かして行うのが一般的です。
口腔衛生製品の選択:最適なケアを追求する
適切な口腔衛生製品の選択も、歯周病予防に重要な要素となります。歯磨き粉には、フッ素が含まれているものを選びましょう。フッ素は、エナメル質を強化し、酸による侵食を防ぐ効果があります。また、抗菌成分が配合されているマウスウォッシュは、歯垢の形成を抑制し、バクテリアの増殖を抑える役割を果たします。それぞれの口腔状況に応じた製品選びがより効果的なケアにつながります。
定期的な歯科検診:健康な口腔を維持する
最後に、定期的な歯科検診も歯周病予防に大いに寄与します。歯科医師による専門的な検査とクリーニングは、自宅でのケアだけでは難しい深部のプラーク除去や初期の歯周病の発見を可能にします。さらに、診察を通じて自身の口腔状況を理解し、歯科医師からのアドバイスを得ることで、自宅でのケアも向上します。早期発見と早期治療が、歯周病から口腔を守るための鍵となります。患者さまには年に1回以上、歯科検診を受けることをおすすめしております。
歯周病と全身の健康:口の中から始まる健康の輪

歯周病と心臓病、糖尿病:思わぬ連鎖
歯周病はただの口腔内の問題ではありません。その影響は全身に広がり、様々な健康問題を引き起こす可能性があるのです。たとえば、心臓病と歯周病の関係については、多くの研究で報告されています。歯周病が進行すると、口腔内からバクテリアが血流に乗って全身を巡ります。これが心臓に到達すると、炎症反応を引き起こし、心臓の血管壁に沈着して動脈硬化を促進する可能性があります。また、歯周病と糖尿病との関連性も指摘されています。糖尿病患者さんは歯周病になりやすいだけでなく、歯周病が糖尿病のコントロールを難しくすることが知られています。
妊娠と歯周病:母子の健康への影響
さらに、妊娠中の歯周病は母体だけでなく、胎児にも影響を及ぼします。歯周病による口腔内の感染症は、早産や低体重出産といったリスクを高めることが研究で示されています。これらのリスクを避けるためには、妊娠中の口腔ケアが非常に重要となります。
アルツハイマー病と歯周病:脳への影響
そして最も驚くべきことに、歯周病とアルツハイマー病との間にも関連性が指摘されています。口腔内からの細菌が脳に到達し、炎症反応を引き起こすことが、アルツハイマー病の発症や進行に影響を与える可能性があるというのです。
これらの知見から、口腔内の健康は全身の健康に深く関わっていることが明らかとなり、日々の口腔ケアの重要性が再認識されます。歯周病はただの歯の問題ではなく、全身の健康に深く影響する疾患であることを理解し、予防に努めることが求められています。
歯周病と栄養:食事から始める口腔健康

歯周病予防のための栄養素:健康な歯と歯肉を保つ秘訣
歯周病の予防と治療には、適切な栄養素の摂取が不可欠です。体の抵抗力を高め、歯肉の健康を保つビタミンC、骨と歯の健康に欠かせないカルシウム、免疫機能を強化するビタミンDなど、これらの栄養素は私たちの口腔内環境を守ります。これらの栄養素を豊富に含む食事を摂ることで、歯周病から身を守ることができます。
ダイエットと口腔内環境:健康的な生活習慣の重要性
また、ダイエットと口腔内の状態も密接に関連しています。不規則な食事や偏った栄養状態は口腔内環境を悪化させ、歯周病のリスクを高める可能性があります。例えば、砂糖を多く含む食事は口腔内のバクテリアの増殖を促進し、歯周病の原因となる可能性があります。これを防ぐためには、バランスの良い食事を心がけ、適度な運動を取り入れることで全身の健康を保つことが重要です。
サプリメントの役割:必要な栄養素を補う手段
さらに、特定の栄養素を補給するためのサプリメントも歯周病予防に役立つことがあります。ただし、サプリメントは食事の代わりではなく、偏った食事の補完や特定の栄養素の補給を目的として利用するべきです。ビタミンCやカルシウム、ビタミンDなどのサプリメントを適切に活用することで、食事から摂取する量が不足している場合の栄養補給が可能です。
栄養バランスの良い食事、適度な運動、適切なサプリメントの利用など、全身の健康を保つ生活習慣が、実は口腔内の健康にも大きな影響を及ぼします。歯周病予防に向けて、これらを意識的に行うことが重要です。
歯周病とストレス:心身の健康が口腔の健康にも影響を及ぼす

ストレスと免疫システム:心理的な状態と口腔健康の意外なつながり
私たちの心理的な状態は、身体の健康に大きな影響を及ぼします。特に、ストレスは免疫システムに影響を及ぼし、その結果、口腔内の健康にも影響を与えることがあります。過度のストレスは免疫機能を低下させ、歯周病を引き起こすバクテリアが増殖する環境を作り出す可能性があります。このため、ストレスをうまく管理し、バランスの良い生活を送ることが歯周病予防にもつながります。
マインドフルネスとリラクゼーション:心の健康を維持し口腔の健康も守る
心地良いリラクゼーションやマインドフルネスは、ストレスを軽減し、心身の健康を保つ効果的な手段です。深呼吸や瞑想、自然の中での散歩など、リラクゼーションを促す活動を日々の生活に取り入れることで、ストレスを軽減し、免疫力を強化することが可能です。これにより、歯周病の予防にも寄与します。
ストレス対処法と予防策:歯周病予防に向けた心のケア
また、ストレスを抑えるための対処法を身につけることも重要です。これには、適切な休息、趣味やリラクゼーションを見つける、適度な運動、栄養バランスの良い食事などがあります。ストレスが溜まりすぎると、心だけでなく身体全体に負担がかかり、口腔内環境も悪化する可能性があります。
心の健康を維持することは、身体全体の健康に直結します。そして、それは口腔の健康、特に歯周病の予防にも深く関わっています。ストレスをうまくコントロールし、リラクゼーションを見つけ、心身の健康を保つことで、歯周病を予防しましょう。
歯周病の専門家:口腔健康の最前線で働くあなたの強力なサポートチーム
歯周病との戦いは1人ではなく、専門家チームのサポートを得て取り組むものです。一般歯科医から歯周病専門医、そして歯科衛生士まで、それぞれが専門的な知識と経験を活かし、あなたの口腔健康を守るために最善を尽くします。このセクションでは、それぞれの役割を詳しく解説し、どのように連携してあなたの口腔健康をサポートするのかを見ていきましょう。
一般歯科医と歯周病専門医:治療のナビゲーター
一般歯科医:初期の歯周病の診断や、口腔内全体の健康状態を維持するために重要な役割を果たします。日常的な検診で初期の歯周病を発見し、必要に応じて適切な治療を行います。
歯周病専門医:一般歯科医が治療できない複雑な症状や進行した歯周病のケースに対応します。高度な訓練と経験を活用し、専門的な治療プロトコールを用いて歯周病の進行を止め、口腔健康を回復する手助けをします。
歯科衛生士:予防とケアのエキスパート
歯科衛生士は、予防ケアの専門家として日々の口腔ケアをサポートします。定期的にプロフェッショナルクリーニングを行うことで、歯石の蓄積を防ぎます。また、正しいブラッシングやフロッシングの技術、最適な口腔衛生製品の選択についての指導を行います。これらの日々のケアは、歯周病の予防に重要な役割を果たします。
専門的なケアとセカンドオピニオン:あなたの口腔健康のアドバイザー
専門的なケア
重度の歯周病の治療や特殊なケースに対応するために、さらに専門的な知識や技術を持つ歯周病専門医や口腔外科医などが活躍します。病状やニーズに最適な治療法を提案し、効果的なケアを提供します。
セカンドオピニオン
治療選択肢について迷ったり、不安を感じる場合は、他の専門家からの意見(セカンドオピニオン)を求めることが有益です。この過程で新たな視点や情報を得ることができ、自分に最適な治療方針を確立するための重要な手段となります。
歯周病治療の最新技術:未来への窓口
今や科学技術は飛躍的な進歩を遂げており、歯周病治療の分野でもその影響は顕著です。最新の技術と製品は、従来の治療法を補完し、時にはそれを凌駕する可能性を秘めています。ここでは、歯周病治療の最新の技術と製品について探求してみましょう。
レーザー治療とその効果:光の力で歯周病と戦う
レーザー治療は歯周病治療の分野で革新的な役割を果たしています。レーザーは熱エネルギーを用いて細菌を殺すだけでなく、感染した組織を取り除き、健康な組織の再生を助けます。レーザー治療は一部の歯周病の症状に対して効果的で、従来の治療に比べて痛みや腫れが少ないという利点があります。しかしながら、全ての患者さまや症状にレーザー治療が適しているわけではないため、治療法を選択する際には歯科医師と十分な相談が必要です。
バイオテクノロジーと再生医療:生命科学の進歩による治療革新
バイオテクノロジーと再生医療は歯周病治療の新たなフロンティアを開いています。特に、幹細胞や生体材料を利用した再生療法は大きな可能性を秘めています。これらの技術を利用すると、歯周組織や骨を再生させ、歯周病によって失われた組織を元の状態に戻すことが可能になるかもしれません。また、バイオテクノロジーによって、特定の細菌を標的にした新たな治療薬の開発も進んでいます。
最新の予防策と製品:あなたの口腔ケアを進化させる
予防は治療よりも重要で、歯周病に対する戦いにおいても同様です。新しい口腔衛生製品や技術が続々と開発されており、例えば、電動歯ブラシ、スマート歯ブラシ、アプリなどが日々のケアをサポートしています。また、特定の細菌を標的にした口腔内洗浄剤や、口腔内のpHを調節する製品など、科学的根拠に基づいた最新の予防策も増えています。
歯周病治療の分野では革新的な技術が日々開発されており、これらはより効果的、より快適な治療を提供することを可能にしています。それら新技術を取り入れつつ、基本的な口腔ケアを怠らないことで、健康な口腔環境を維持することができます。
歯周病のコスト:保険と治療費用についてのナビゲーション
歯周病の治療には費用がかかりますが、適切な治療は健康な生活を維持するために絶対に必要なものです。適切な予算設定と保険の利用、そして治療費の最大化について理解すれば、歯周病治療の負担を軽減することが可能です。
治療費の見積もりと予算設定:あなたの健康投資計画
歯周病の治療費は、病状の重さや必要な治療法により大きく変動します。まず、歯科医師による詳しい診断と治療計画を立てることから始めましょう。その上で、具体的な治療費の見積もりをもらい、必要な治療を受けるための予算を設定します。多くの歯科医療機関では、長期的な治療計画に対して分割払いや治療費支援プログラムを提供しています。
健康保険の適用と自己負担:あなたの健康保険を最大限に活用する
日本の健康保険制度は、歯周病の治療費用の一部をカバーしています。しかし、すべての治療が保険適用となるわけではなく、また、適用範囲や自己負担額も様々です。自身の健康保険の詳細を理解し、どの治療が保険適用で、どれくらいの自己負担が必要かを把握することが重要です。保険の適用範囲については、歯科医師や保険会社に直接問い合わせることも可能です。
費用効果の最大化:あなたの投資を最善に活用する
歯周病治療の費用は、長期的な口腔健康と全身の健康を維持するための投資と捉えることができます。重度の歯周病が放置されると、治療費はさらに高額になる可能性があります。それに対して、初期の段階で適切な治療を受け、定期的なメンテナンスを行うことで、長期的な費用を削減することができます。また、最新の予防策を取り入れ、日々の口腔ケアに努めることも、費用効果を最大化する一助となります。
歯周病の治療にかかる費用は、健康を維持するための重要な投資です。自身の状況を理解し、保険を最大限に活用し、そして費用効果を最大化するための戦略を立てることで、健康な口腔環境を維持することができます。
歯周病治療後の生活:あなたの口腔健康の未来への道

歯周病の治療が完了したら、治療成果を維持し、再発を防ぐための維持ケアが重要になります。ここでは、治療後の生活における維持ケアの大切さと、再発防止のためのアクションについて考えていきましょう。
メンテナンスと定期診察:あなたの健康状態をチェック
歯周病治療後のメンテナンスは、治療成果を長期間にわたり維持するために欠かせません。定期的な歯科訪問でプロフェッショナルなクリーニングを受けることはもちろん、自分自身で日々の口腔ケアをきちんと行うことが重要です。定期検診では、再発の早期発見や病状のチェックを行い、必要に応じて治療を調整します。
歯周病の再発とその防止:再発を防ぐための戦略
一度治療を受けたからといって、一生歯周病にならないわけではありません。再発を防ぐためには、口腔内の清潔さを保つことと、定期的な歯科検診が不可欠です。また、健康的な食生活や十分な休息、ストレスの管理など、生活全般における健康維持も再発防止に大いに役立ちます。
健康な口腔環境の維持:健康な口から始まる健康な生活
歯周病の予防と治療は、健康な口腔環境を維持するための第一歩です。しかし、それは口腔だけでなく、全身の健康にも影響を与えます。正しいブラッシングやフロッシングの習慣、バランスの良い食事、適度な運動などを続けることで、全身の健康を保ち、病気の予防につなげましょう。
歯周病治療後の生活は、新たなスタートとも言えます。それは、健康な口腔環境を維持し、再発を防ぐための維持ケアが必要な日々への移行を意味します。健康的な生活習慣を身につけ、定期的なメンテナンスを受けることで、あなたの口腔健康はより良い未来へと進みます。

















