オールセラミックスとは?


オールセラミックスは透過性が高く、天然歯に近い透き通った白さを実現することができます。また、金属を使用しないため、歯と歯ぐきの間が黒ずんでくる(ブラックマージン)こともありませんので、長くお使いいただけます。
オールセラミックスでの改善例
歯の色と形が気になって・・・




1本だけ小さな歯が気になって・・・


ラミネートベニアで色・形ともにきれいになりました。
銀歯が気になる方向けの審美治療


前歯の改善には透明度が高くより美しいオールセラミックスをお勧めしておりますが、奥歯に使用すると、噛む力の強い方の場合割れてしまうことがありますので、メタルボンドクラウンにて治療するケースが多くなります。
歯の隙間(歯の大きさ)の改善


















むし歯をセラミックインレーで修復




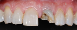
破折した前歯をオールセラミックスクラウンに


奥歯のメタルボンドをオールセラミックスクラウンに付け替え



















